商品總覽

兒牙產品

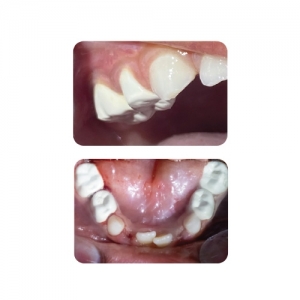
詳細說明
- Self-adaptive technology允許牙冠在輕微咬合過高的區域進行調整
- 約 1 mm的射線不透性(Radiopacity), 可以評估牙冠邊緣和牙髓覆蓋材料
- 牙冠內咬合面的雷射標記,易於識別,並達到最佳美觀效果
- 堅固且靈活,易於放置且Snug/active fit緊密貼合
- 噴砂凹雕表面可增強 Self-setting RMGI 和 GI 黏劑的固持力
- 可大壓力固定,必要時可以牙冠剪修整